eラーニング
-
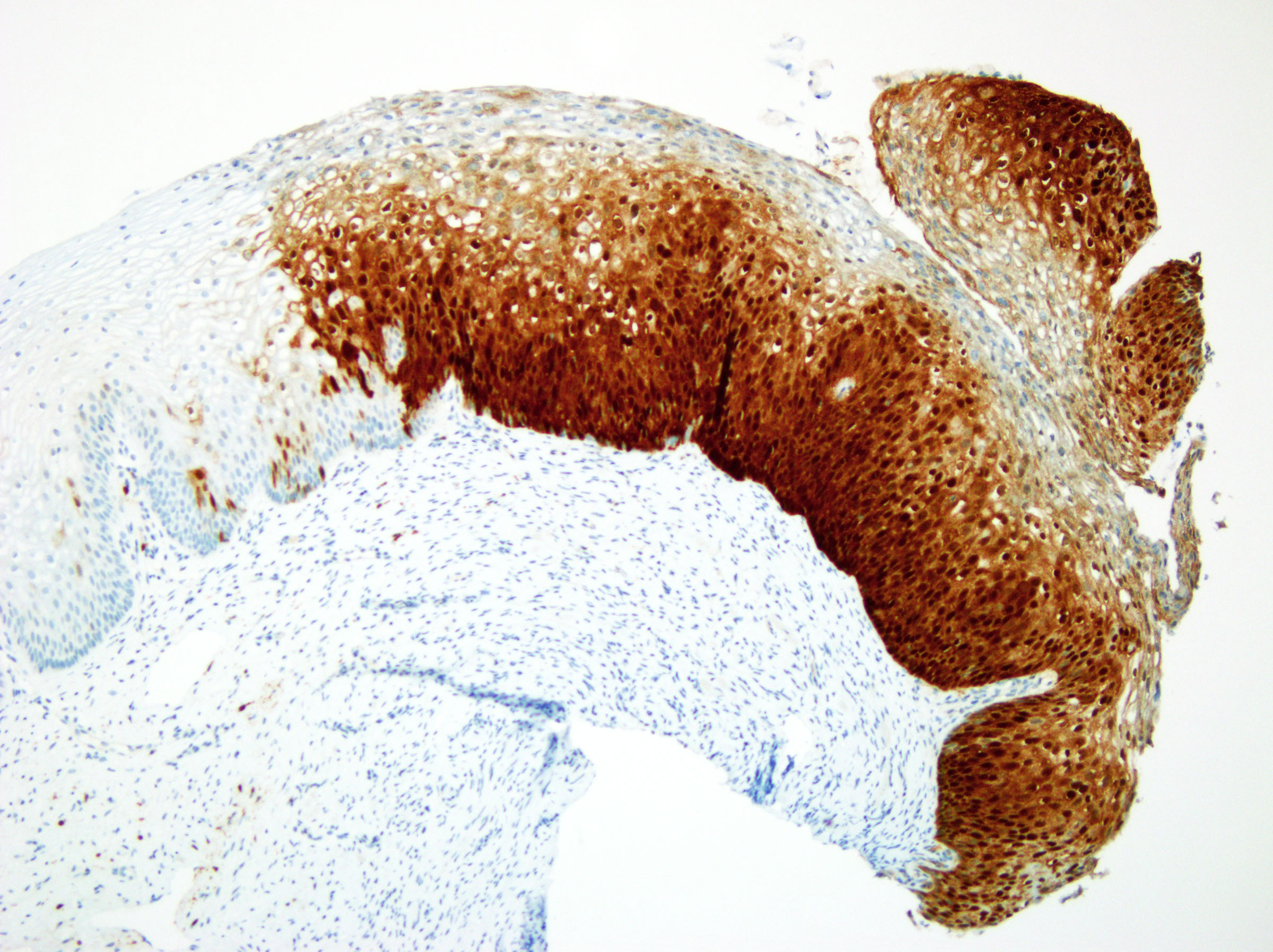
ベンタナ OptiView CINtec p16(E6H4) トレーニングプログラムベンタナ OptiView CINtec p16(E6H4) を用いた婦人科がんにおける免疫染色の判定について学んでいただけます
-
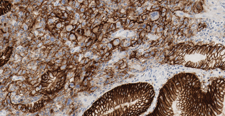
ベンタナ OptiView CLDN18(43-14A) トレーニングプログラムベンタナ OptiView CLDN18(43-14A) を用いた胃がんにおける免疫染色の判定について学んでいただけます
-
ベンタナ DISH HER2 トレーニングプログラムベンタナ DISH HER2を用いたDISH法の判定について学んでいただけます。
-
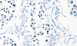
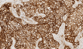
ベンタナ OptiView PD-L1(SP142) トレーニングプログラム~乳癌編~ベンタナ OptiView PD-L1(SP142)を用いた乳癌における免疫染色の判定について学んでいただけます
-
ベンタナ OptiView PD-L1(SP142) トレーニングプログラム~肺癌編~ベンタナ OptiView PD-L1(SP142)を用いた非小細胞肺がん免疫染色の判定について学んでいただけます
-
ベンタナ OptiView PD-L1(SP263) トレーニングプログラム~肺癌編~ベンタナ OptiView PD-L1(SP263) を用いた非小細胞肺がん免疫染色の判定について学んでいただけます。
-
ベンタナ OptiView ALK(D5F3) トレーニングプログラム~肺癌編~ベンタナ OptiView ALK(D5F3)を用いた非小細胞肺がん免疫染色の判定について学んでいただけます
-
婦人科液状細胞診標本 トレーニングプログラム婦人科標本の判定について、合計30症例の例題を用いて学んでいただけます